犬の停留精巣(陰睾、潜在精巣)の症状と原因、治療と注意点について|獣医師が解説
去勢手術 症例紹介犬の停留精巣(陰睾、潜在精巣)の症状と原因、治療と注意点について|獣医師が解説
福岡市早良区、福岡市西区、福岡市城南区、福岡市中央区、糸島市のみなさん、こんにちは。
福岡市早良区の次郎丸動物病院の獣医師の矢野です。
ワンちゃんの飼い主であれば、「停留精巣(陰睾、潜在精巣)」という言葉を一度は聞いたことがあるかもしれません。これは一見、外見上では分かりにくい病態ですが、放置すると深刻な健康リスクを引き起こす可能性もあります。本記事では、停留精巣の症状、原因、治療法、そして飼い主が注意すべき点について、獣医師の立場からわかりやすく解説します。
停留精巣とは?
通常、犬の精巣(睾丸)は、生後1~2か月頃までに腹腔内から陰嚢内へと下降します。しかし、何らかの理由でこの精巣が下降せず、腹腔内あるいは鼠径部(脚の付け根)に留まってしまう状態を「停留精巣(cryptorchidism)」といいます。
停留精巣には以下の2タイプがあります:
• 腹腔内停留精巣:精巣が完全に腹腔内にとどまっている
• 鼠径部停留精巣:鼠径管付近まで下降しているが陰嚢には達していない
主な症状
停留精巣自体は外見的な異常を示さないことが多く、無症状で発見が遅れるケースもあります。しかし、以下のような兆候が見られることがあります。
• 陰嚢内に精巣が片方しか触れない(片側停留)
• 陰嚢が左右非対称
• 成熟後も繁殖力が低い(稀に)
• 腹部や鼠径部のしこり(腫瘍化している場合)
• 男性ホルモン過剰による行動問題(攻撃性やマーキング)
停留精巣の原因
主に遺伝的な要因が関係しています。
• 停留精巣は常染色体優性遺伝の形式をとると考えられており、親が停留精巣を持つ場合、子にも高確率で遺伝します。
• 小型犬(トイプードル、ポメラニアン、チワワなど)や純血種に多く見られます。
• 環境要因(母体内での発育異常やホルモンバランス)も影響する可能性がありますが、主因はやはり遺伝とされます。
治療方法
基本治療:外科的摘出(去勢手術)
停留精巣の治療は、**外科的に精巣を摘出すること(去勢手術)**が原則です。
• 陰嚢内にある正常な精巣と、停留している精巣の両方を摘出する必要があります。
• 腹腔内停留精巣の場合、腹部を開けて手術を行う必要があり、通常の去勢手術よりも侵襲が大きくなります。
• 停留精巣は腫瘍化のリスクが高いため、早期の摘出が推奨されます。
停留精巣による合併症とリスク
停留精巣は、特に腫瘍化のリスクが問題視されます。
• セルトリ細胞腫や精上皮腫などの腫瘍を発生することがあります。特にセルトリ細胞腫で生じる再生不良性貧血を引き起こしている個体は、死亡リスクが高いです。
• 腫瘍化すると腹腔内で破裂したり、ホルモン異常(雌化症候群)を引き起こすこともあります。
• 精巣捻転による急性腹症(強い腹痛、吐き気など)もリスクです。
飼い主が知っておくべき注意点
1. 繁殖に使わないこと
遺伝性が強いため、停留精巣の犬は繁殖に使用すべきではありません。
2. 早期発見と早期手術
手術のタイミングは通常、生後6か月~1歳が目安ですが、健康状態に応じて早めの対応が望まれます。
3. ペット保険の確認
先天性疾患扱いで保険の適用対象外となることがあるため、事前に確認しましょう。
4. 予防は難しいが、信頼できるブリーダーからの迎え入れが大切
両親の遺伝歴を確認し、信頼できる出所から犬を迎えることでリスクを減らせます。
まとめ
犬の停留精巣は見逃されやすい病態ですが、放置すれば命に関わる腫瘍や合併症につながる可能性があります。早期の診断と外科的治療が最も確実な対処法であり、犬の健康寿命を守る上で非常に重要です。
愛犬の健康管理の一環として、定期的な健康診断と、気になる兆候があれば早めに獣医師に相談することをおすすめします。
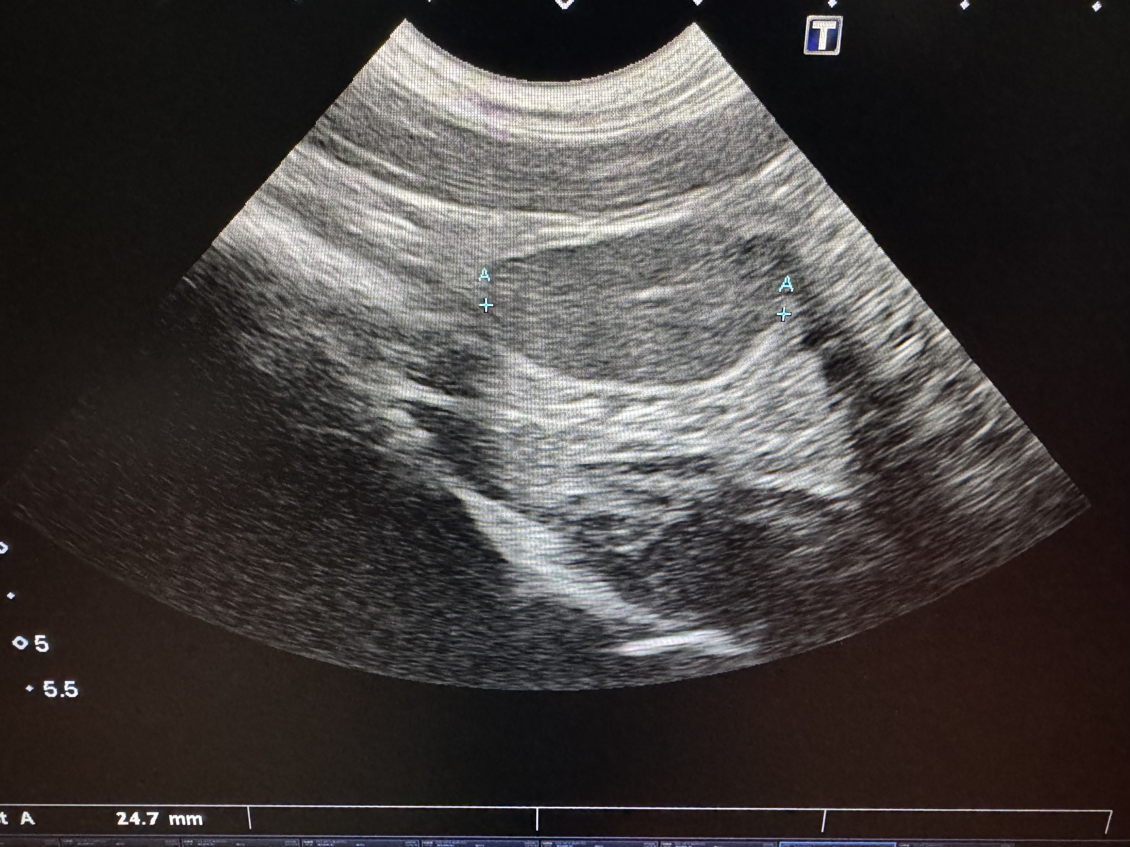
この写真は1歳のボーダーコリーの男の子の腹腔内停留精巣の腹部エコーの図です。陰嚢内に精巣が一つしか触知されず、腹部エコーによって膀胱の右鼠径間付近のお腹の中に精巣があることがわかった事例です。この子はこの後、開腹手術によって安全に去勢手術を行うことができましたので、精巣腫瘍になるリスクを事前に抑えることができました。
この写真は12歳のチワワの右鼠蹊部停留精巣が腫瘍化したために緊急に摘出手術を行なった時の写真です。陰茎の右側が大きく膨らんでいることがわかります。陰嚢部には一つしか精巣を触知しません。そしてオスなのに乳頭が目立つ大きさになっていることがわかります。摘出手術後の病理検査でこの子の精巣はセルトリ細胞腫でした。セルトリ細胞腫になると女性ホルモンであるエストロジェンが過剰に産生されるため、乳頭の腫大や脱毛(いわゆる雌性化)が生じます。そして重大な障害として女性ホルモン(性ステロイド)の過剰により骨髄異常が引き起こされると、不可逆性の再生不良性貧血が生じてしまいます。この子は幸い貧血が生じる前に摘出手術を行えたため、現在のところ術後元気に暮らしています。精巣は陰嚢まで降りると体温より低い環境で正常に機能するようになりますが、停留精巣だと体温と同じ環境で生涯存在するため、腫瘍化するリスクが高まると考えられています。セルトリ細胞腫になってから去勢手術するよりも、腫瘍化する前に手術を行なった方が死亡する合併症を減らすことができます。
