高齢猫の食欲不振の原因、治療について|獣医師が解説 NEW
予防ワクチン・健康診断 症例紹介高齢猫の食欲不振の原因、治療について|獣医師が解説
福岡市早良区、福岡市西区、福岡市城南区、福岡市中央区、糸島市のみなさん、こんにちは。
福岡市早良区の次郎丸動物病院の獣医師の矢野です。
高齢猫の「食べない」という変化は、単なる加齢では片づけられない重要なサインです。特にシニア期(おおよそ10歳以上)では、複数の疾患や環境要因が重なって食欲不振を引き起こすことが多く、早期の見極めが予後を大きく左右します。ここでは臨床現場の視点から、原因・診断・治療まで体系的に解説します。
高齢猫で食欲不振が起こる主な原因
1. 慢性腎臓病
高齢猫で最も多い原因の一つです。尿毒症による吐き気や倦怠感が食欲低下を引き起こします。進行は緩やかですが、気づいた時にはかなり進行していることも珍しくありません。
2. 口腔内疾患
歯周病、吸収病巣、口内炎などによる疼痛は「食べたいのに食べられない」状態を作ります。食器の前には来るが食べない、片側で噛むといった行動がヒントになります。
3. 消化器疾患
慢性腸炎、腫瘍(リンパ腫など)、膵炎などが含まれます。特に慢性腸炎は体重減少を伴いながら徐々に進行するため見逃されやすい疾患です。
4. 内分泌疾患
甲状腺機能亢進症は「食欲はあるのに痩せる」が典型ですが、進行すると食欲低下に転じることもあります。
5. 腫瘍性疾患
高齢になるほど発生率が上がります。消化器だけでなく、全身状態の低下として食欲不振が現れることもあります。
6. ストレス・環境変化
引っ越し、同居動物の変化、飼い主の生活リズムの変化などでも食欲は簡単に落ちます。高齢猫は環境変化への耐性が低下しています。
7. 加齢そのものによる変化
嗅覚や味覚の低下、活動量の低下により「食への興味」が弱くなるケースもあります。ただし、これは診断を除外した後に考えるべきものです。
食欲不振の評価で重要なポイント
臨床的には「どれくらい食べていないか」よりも「なぜ食べないか」の特定が重要です。
• 急性か慢性か(突然か徐々か)
• 体重減少の有無
• 嘔吐・下痢の有無
• 水を飲む量の変化
• 食べたい様子はあるか
特に3日以上ほとんど食べない場合は緊急性が高いと考えます。猫は絶食に弱く、肝リピドーシスを発症するリスクがあるためです。
診断アプローチ
実際の診療では以下を組み合わせて原因を絞り込みます。
• 血液検査(腎機能、肝機能、炎症、甲状腺)
• 尿検査
• レントゲン・超音波検査
• 口腔内の詳細評価(鎮静下での確認も含む)
高齢猫では単一疾患ではなく「複合疾患」であることが多く、全体像として評価することが重要です。
治療の考え方
1. 原因治療
根本原因に対する治療が最優先です。
• 腎臓病:輸液療法、腎臓用療法食
• 口腔疾患:抜歯や抗炎症治療
• 消化器疾患:食事療法、免疫抑制、抗炎症
• 甲状腺疾患:内服または放射線治療
2. 対症療法(食欲を戻すためのアプローチ)
食欲刺激薬
ミルタザピンなどが使用されることがあります。即効性がある場合も多いですが、原因治療の代替にはなりません。
制吐薬
マロピタントなどで吐き気を抑えると食欲が戻るケースがあります。
強制給餌・栄養管理
シリンジ給餌や流動食を用いることもあります。長期化する場合は食道チューブ設置も選択肢です。
3. 環境・行動面の調整
高齢猫ではこの要素が軽視されがちですが、実際には大きく影響します。
• 食器の高さを調整する(頸部負担軽減)
• フードを温めて嗅覚刺激を強める
• 静かな環境で食事させる
• 少量頻回給餌にする
• リキッド(液体)タイプの療法食を使用する
「食べない猫」にどう向き合うか
臨床的に難しいのは、「治療すれば食べる状態」と「生理的に食べなくなっている状態」の見極めです。
特に終末期では、無理に食べさせることが猫のストレスになる場合もあります。一方で、まだ回復可能な段階での放置は明確に予後を悪化させます。
この判断は数値だけでなく、
• 反応性
• 活動性
• 飼い主との関係性
といった「生きている質」を含めて総合的に行う必要があります。
まとめ
高齢猫の食欲不振や体重減少は、単なる老化ではなく何らかの異常のサインである可能性が高いです。
特に3日以上の食欲低下は見過ごすべきではありません。
重要なのは、
• 原因を見極めること
• 栄養状態を維持すること
• 猫の生活の質を守ること
この3点のバランスです。気になることがあれば動物病院に相談ください。
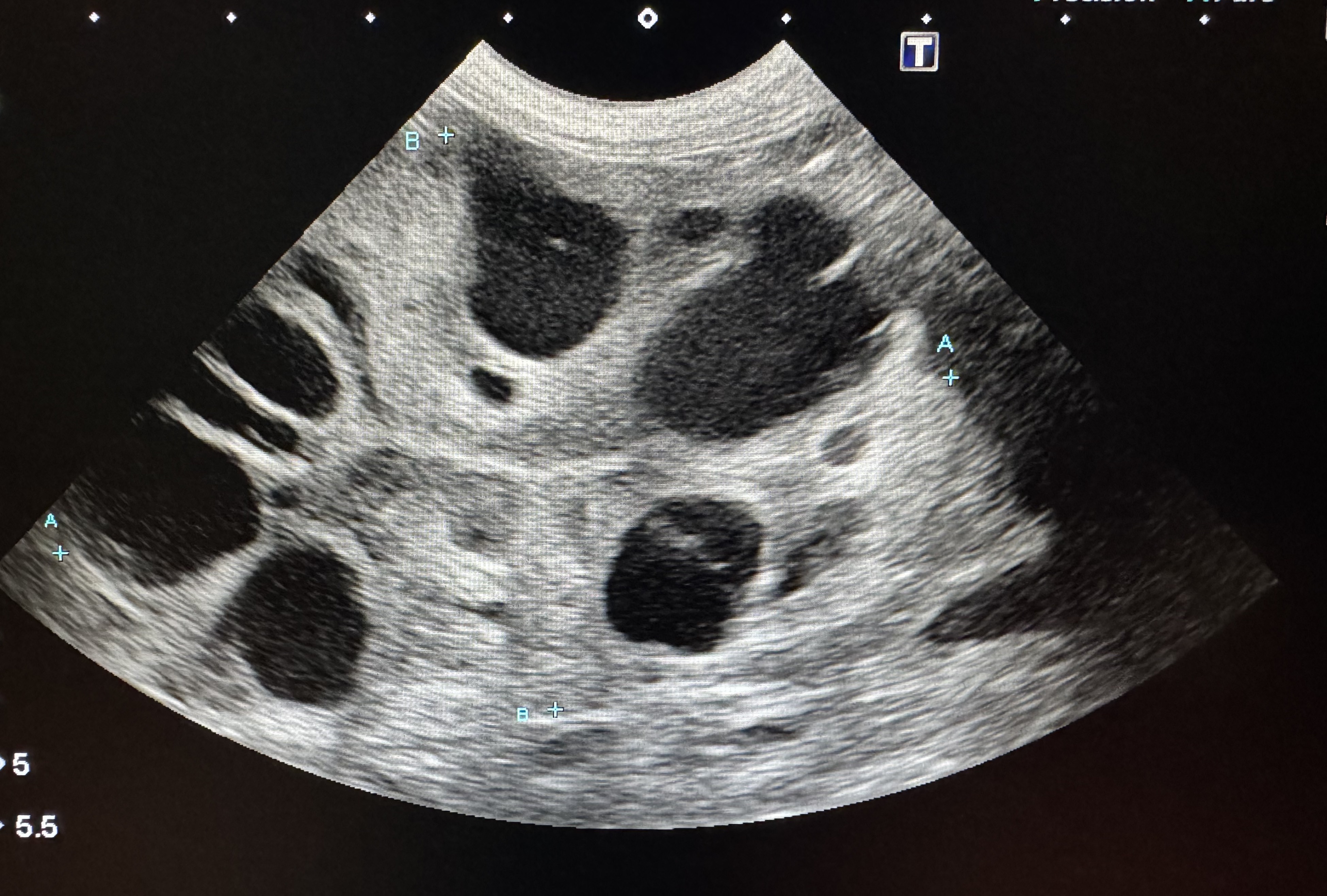
慢性腎不全の猫で多発嚢胞状の変化を引き起こしてしまった腎臓のエコーの写真です。原因を明らかにしてから治療することで、慢性腎不全の高齢の猫でも苦痛や病気の進行を最小限に、質を高めた生活を送ることもできますので、気軽にご相談ください。
