犬の心タンポナーゼの症状と原因、治療について|獣医師が解説
循環器科 呼吸器科 症例紹介犬の心タンポナーゼの症状と原因、治療について|獣医師が解説
福岡市早良区、福岡市西区、福岡市城南区、福岡市中央区、糸島市のみなさん、こんにちは。
福岡市早良区の次郎丸動物病院の獣医師の矢野です。今回は緊急疾患である、犬の心タンポナーゼについてその症状と原因、治療方法を解説いたします。
心タンポナーゼとは?
心タンポナーゼ(cardiac tamponade)とは、心嚢(心臓を包む膜)に液体が異常に貯留し、心臓が圧迫されることで正常な血液循環が阻害される重篤な疾患です。迅速な診断と治療が必要であり、放置すると命に関わる可能性があります。
犬の心タンポナーゼの主な症状
心タンポナーゼが進行すると、以下のような症状が現れます。
•    元気消失:活動量が減り、横になっていることが多くなる
•    食欲不振:食事をとらなくなる、または食べる量が減る
•    呼吸困難:浅く速い呼吸や開口呼吸をすることがある
•    腹水や浮腫の出現:血液循環の悪化により、腹部に水がたまることがある
•    可視粘膜の蒼白やチアノーゼ:歯茎や舌が青白くなる
•    失神や虚脱:急激な血圧低下により、意識を失うことがある
•    心拍数の増加(頻脈):血圧を維持するために心拍数が増える
特に進行した場合、犬はぐったりとし、動くことが困難になります。このような症状が見られた場合、すぐに動物病院を受診する必要があります。
犬の心タンポナーゼの原因
心タンポナーゼの原因は多岐にわたりますが、主に以下のものが挙げられます。
1. 腫瘍性疾患
心嚢に液体が貯留する最も一般的な原因は腫瘍です。特に以下の腫瘍が関与します。
•    血管肉腫(特に心臓の右心房に発生)
•    心基部腫瘍(大動脈体腫や副腎髄質由来腫瘍)
•    リンパ腫
2. 特発性心嚢水貯留
明確な原因が特定できないにもかかわらず、心嚢に液体が貯留するケースです。多くは大型犬に発生しやすいとされています。
3. 感染や炎症
細菌感染やウイルス感染による心膜炎が原因となり、心嚢水が蓄積することがあります。
4. 外傷
交通事故や鋭利な物による外傷が心嚢に影響を与え、血液がたまることで心タンポナーゼを引き起こすことがあります。
診断方法
心タンポナーゼの診断には、以下のような検査が行われます。
1. 身体検査
•    頸静脈の怒張(腫れ上がる)
•    心音の減弱(聴診器で心音が聞こえにくくなる)
•    低血圧
2. X線検査(レントゲン)
心陰影の拡大が見られることがあります。
3. 超音波検査(エコー)
心嚢液の貯留を直接確認することができ、確定診断に役立ちます。
4. 心電図(ECG)
電気的交替(electrical alternans)と呼ばれる特徴的な波形が観察されることがあります。
治療方法
心タンポナーゼの治療には、迅速な対応が求められます。
1. 心嚢穿刺(しんのうせんし)
心嚢に針を刺して溜まった液体を抜く処置です。これにより心臓への圧迫を軽減し、血液循環を回復させます。緊急時にはこの処置が生命を救うことになります。
2. 外科的治療
腫瘍が原因の場合、外科的切除が考えられます。ただし、血管肉腫などの悪性腫瘍では手術が難しいケースも多く、予後は慎重に判断する必要があります。
3. 薬物療法
•    利尿剤(フロセミドなど):心嚢水が再び貯留するのを防ぐために使用されることがありますが、根本的な治療にはなりません。
•    抗腫瘍薬・化学療法:腫瘍が原因の場合、一部のケースで抗がん剤治療が選択されることがあります。
•    抗生物質:感染が疑われる場合に投与されます。
4. 継続的な管理と予後
心タンポナーゼは再発することがあり、特に腫瘍性疾患が原因の場合、根治は困難なことが多いです。そのため、定期的な超音波検査を行いながら、病状の進行をモニタリングすることが重要です。
まとめ
犬の心タンポナーゼは重篤な疾患であり、迅速な診断と適切な治療が求められます。特に呼吸困難や失神などの症状が現れた場合は、一刻も早く動物病院を受診することが大切です。治療法としては、心嚢穿刺による緊急対応が主となり、腫瘍が原因の場合は外科的治療や化学療法が検討されます。
愛犬の健康を守るためにも、普段から定期的な健康診断を受け、異変を感じた際には早めに獣医師に相談しましょう。当院では、飼主様の希望に応じて適切に診断し治療することを大切にしていますので、お気軽にお問い合わせください。
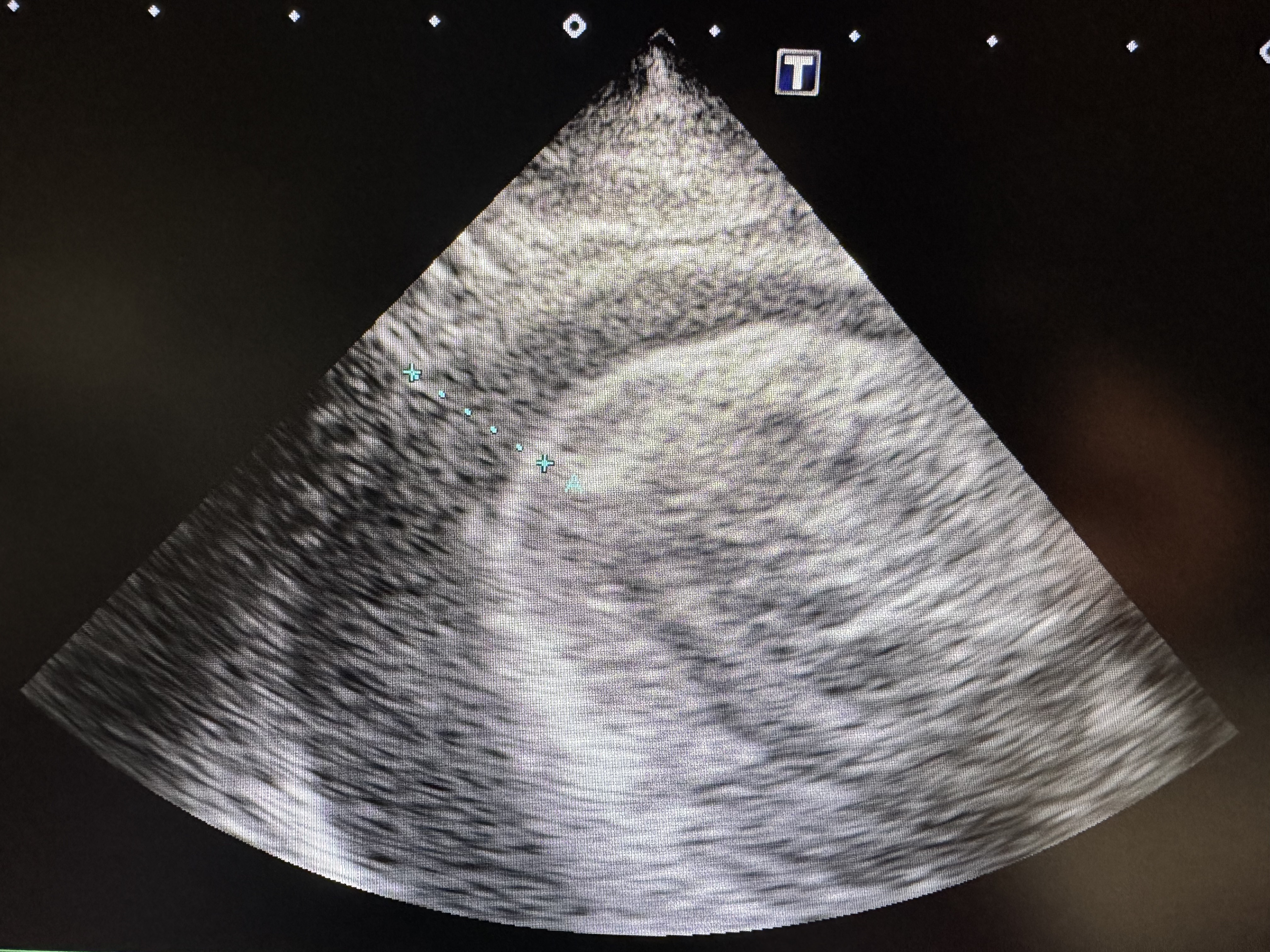
この心臓エコーの画像は、10歳のゴールデンレトリバーの子のものです。急に元気がなくなって立てなくなったということで来院されました。血液検査では異常がなく、レントゲンでも心肥大が認められるものの胸水の所見はありませんでした。しかしながら、股動脈圧が弱く、聴診で心臓の音が聞き取れない異常があり、循環異常の兆候が認められたため、心臓エコー検査を実施したところ心タンポナーゼであることが診断された症例です。心臓の周りに黒いスペース(液体貯留の初見)があり、心臓が十分に拡張できない状況にあるため、緊急に心嚢穿刺を行い、心嚢に溜まった心嚢水を摘出しました。
心タンポナーゼの時は写真のような血様の液体が排出されることが多いです。心臓にできた腫瘍からの出血や、原因が特定できない特発性のことがあります。心嚢水を抜いた後再度液体が貯留することがなければ、ある程度の寛解期間(健康な状態が続く期間)が得られることがあります。この子も翌々日くらいから元気が出てきており、現在は普通の生活をしています。

 
 
 
 
 
 
 
 
 
 
 
