猫の喘息の症状と原因、治療について|獣医師が解説
循環器科 呼吸器科 症例紹介猫の喘息の症状と原因、治療について|獣医師が解説
福岡市早良区、福岡市西区、福岡市城南区、福岡市中央区、糸島市のみなさん、こんにちは。
福岡市早良区の次郎丸動物病院の獣医師の矢野です。
猫ちゃんが調子を崩すと、飼い主さんとしてとても心配になりますよね。今回は、猫ちゃんの喘息の症状と原因、当院での治療についてお話しさせていただきます。
【はじめに】
喘息とは、細気管支が炎症を起こしたり、けいれんを起こしたことによって細くなってしまい、息を吸ったり吐いたりすることがしづらくなることによって生じる呼吸器の病気です。体質やアレルギー、環境要因が関連することがあります。猫では胸部レントゲンで気管が太くなっているような気管支パターンが目立つようになることと、治療への反応や再発するか否かによって診断がつくことがあります。
【猫の喘息の症状】
猫が喘息にかかっている場合、以下のような症状が現れることがあります。
1. 呼吸困難: 猫が息切れをし、通常よりも急速な呼吸が見られます。
2. 咳: 乾いた咳が頻繁に発生することがあります。
3. くしゃみや鼻水: 喘息により、猫の鼻や喉が刺激され、くしゃみや鼻水が出ることがあります。
これらの症状が見られた場合、早期の診断と治療が重要です。レントゲンで肺の気管支パターンのみが認められ、血液検査などで他の呼吸器疾患が否定された時に猫の喘息と診断されることがあります。
【猫の喘息の原因】
猫の喘息の主な原因はいくつかあります。
1. アレルギー反応: ほこり、カビ、花粉、煙などのアレルゲンが原因で、猫がアレルギー反応を起こすことがあります。
2. 環境の変化: 新しい環境やストレスが引き金となり、喘息の発症を促すことがあります。
3. 感染症: 呼吸器感染症が原因で、喘息の症状が出ることがあります。
【猫の喘息の治療法】
猫の喘息の治療は、原因によって異なりますが、一般的なアプローチは以下の通りです。投薬の方法は注射、内服、吸入など様々な方法があり、猫ちゃんの性質や飼い主さんの希望により治療方法を選択することになります。
1. 抗アレルギー薬: アレルギーが原因の場合、抗アレルギー薬が処方されることがあります。
2. 抗生物質: 細菌感染が疑われる場合、抗生物質が必要です。
3. ステロイド治療: 炎症を抑えるためにステロイドが使用されることがあります。
4. 環境の管理: 猫の生活環境を見直し、アレルギーの原因を排除することが重要です。ハウスダストマイト(いわゆる家のホコリ)や芳香剤などのにおい、タバコの煙、同居猫のふけ(つまり多頭飼いの猫で猫の喘息が認められることが多い印象です)などで猫の喘息を引き起こすことがあるようです。また寒暖の差がある季節の変わり目や猫ウイルス性鼻気管炎などに合併して発症してくることもあるので、症状に季節性があることがあります。
【まとめ】
猫の喘息は早期に対処することが重要です。喘息猫の咳は飼い主の皆さんにとって心配事の一つです。異常な症状が見られた場合にはすぐに獣医師の診察を受けるよう心がけましょう。専門家の助言に基づいた適切な治療が、猫の健康を維持する鍵となります。
特に食欲が廃絶していたり、症状が重い時は検査などで原因を特定し、適切な治療を行うことが大切です。また、呼吸器疾患は肥満していると増悪する傾向があります。増悪予防のためにも、猫ちゃんに総合栄養食以外の食べ物を多給しないようにすることが必要です。当院では、飼主様の希望に応じて適切に診断し治療することを大切にしていますので、お気軽にお問い合わせください。
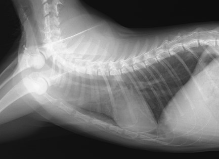
咳をする若い猫ちゃんの胸部レントゲン写真です。大きな異常は認められないですが、
拡大して肺の後ろ側をよく見ると、白いポッチのような病変(赤矢印)がいくつか確認できます。これは気管支パターンと言って、気管が腫れていることを示す所見です。この子は非常に軽い気管支パターンでしたが、喘息の治療をしたところ症状が改善しています。猫の喘息は体質が関与していると見られ、時々再発を繰り返しますが、治療への反応がよい子は普段の生活に支障がない程度に回復してゆきます。
