犬の僧帽弁閉鎖不全症の症状と原因、治療について|獣医師が解説
循環器科 呼吸器科 症例紹介犬の僧帽弁閉鎖不全症の症状と原因、治療について|獣医師が解説
福岡市早良区、福岡市西区、福岡市城南区、福岡市中央区、糸島市のみなさん、こんにちは。
福岡市早良区の次郎丸動物病院の獣医師の矢野です。
今回は、重要な心臓病の一つである「犬の僧帽弁閉鎖不全症」の症状と原因、当院での治療について詳しく解説します。心臓病は犬にとって深刻な問題であり、早期の発見と治療が重要です。それでは、犬の僧帽弁閉鎖不全症について理解を深めていきましょう。
【犬の僧帽弁閉鎖不全症とは?】
犬の僧帽弁閉鎖不全症は、犬の心臓弁に問題が生じ、血液が逆流する状態を指します。この状態では、心臓が効果的に血液を送り出せず、患部に過度の負担がかかります。この病態は進行性であり、患犬の健康に影響を及ぼす可能性があります。
【犬の僧帽弁閉鎖不全症の症状】
犬の僧帽弁閉鎖不全症の症状には以下が含まれます:
• 呼吸困難
• 食欲不振
• 疲労感
• 頻尿
• 咳
• 腹部の腫れ
これらの症状が見られた場合は、迅速な獣医師の診察が必要です。早期の診断は治療の成功につながります。
【犬の僧帽弁閉鎖不全症の原因とリスクファクター】
犬の僧帽弁閉鎖不全症の原因は様々ですが、年齢や遺伝的な要因が関与することがあります。また、特定の犬種(キャバリアや小型の犬種)は他の犬種よりも発症リスクが高い場合があります。適切なブリーダーからの購入や健康診断の定期的な受診は、予防の一環として重要です。
【犬の僧帽弁閉鎖不全症の治療法】
犬の僧帽弁閉鎖不全症の治療法には薬物療法や手術があります。薬物療法では、心臓の負担を軽減するための薬物が使用されます。当院では、主に血圧をコントロールし、心臓の負荷を下げる薬をいくつか使用し、その子その子の心臓や既往症の状況に合わせたオーダーメイドの薬で治療を行います。大抵の場合、非常に良好に僧帽弁閉鎖不全症をコントロールできます。一方で、進行が著しい場合や薬物療法が効果的でない場合は、手術が検討されることがあります。手術は専門的な医療施設で行われ、獣医師との綿密な相談が欠かせません。希望に応じて専門病院を紹介することも可能です。
【まとめ】
犬の健康は飼い主の理解と愛情に大きく依存しています。定期的な健康診断や異常な行動の観察、適切な栄養などが、犬の心臓病などの早期発見と予防に役立ちます。大切な家族の一員である犬と共に、健やかな日々を過ごしましょう。
当院では、飼主様の希望に応じて適切に診断し治療することを大切にしていますので、ご質問やご相談がありましたら、お気軽にお問い合わせください。
皆様の愛犬が健康で幸せな日々を過ごせることを心より願っております。
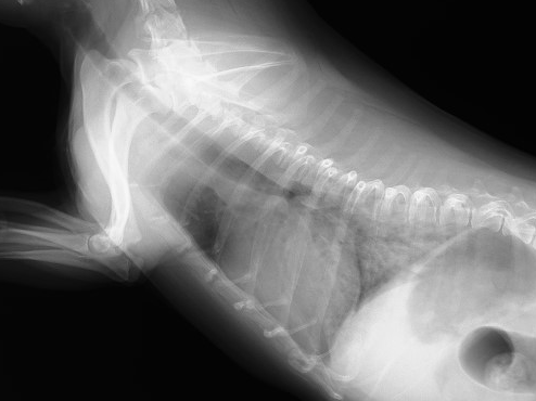
僧帽弁閉鎖不全症のため呼吸困難で来院した犬のレントゲン写真です。心臓が明らかに大きくなって、心臓より後ろの肺が白くなって十分に膨らまなくなっているのがわかります。鬱血性心不全による心原性肺水腫の典型的なレントゲンになります。このままの状態では命の危険がある状態です。
心臓のエコー検査では、僧帽弁が厚くビロビロになって閉鎖不全が生じているため、左心室から左心房の方に逆流する血流(青いところ)が認められます。この子は1日程度、酸素テント(ICU装置)で入院しながら、心臓の点滴を行うことで、心原性肺水腫が改善し、現在は内服薬で普段の生活に支障がない状態で管理できています。(5ヶ月後のレントゲン写真で肺水腫が改善し、心臓の肥大も改善しているのがわかります)
混合ワクチンやフィラリアの予防で、年に数回動物病院に訪れる際に、心音の雑音を聴診器で確認することで、僧帽弁閉鎖不全症は早期に発見することが可能です。喉に詰まるような咳が悪化の重要なサインになりますので、ワンちゃんが咳をする際は様子を見ずに動物病院で診察を受けることをお勧めいたします。
