猫の慢性下痢(炎症性腸症IBDと小細胞性リンパ腫)の症状と原因、治療について|獣医師が解説
消化器科 一般診療科 症例紹介猫の慢性下痢(炎症性腸症IBDと小細胞性リンパ腫)の症状と原因、治療について|獣医師が解説
福岡市早良区、福岡市西区、福岡市城南区、福岡市中央区、糸島市のみなさん、こんにちは。
福岡市早良区の次郎丸動物病院の獣医師の矢野です。
猫ちゃんが下痢をしたり吐いたりすると心配ですね。それが3週間以上続くと慢性腸症の疑いがあります。その中でも慢性下痢は、近年特に増えている印象があります。慢性下痢の原因の中で特に、炎症性腸症(IBD)と小細胞性リンパ腫は、類似した症状(3週間以上続く下痢や吐き戻し、体重減少)を示しながらも、片方は炎症、片方は腫瘍に分類され、治療への反応や予後が異なります。このブログ記事では、これらの病状の症状、原因、そして当院での治療方法について、獣医師の視点から詳しく解説していきます。
【猫の炎症性腸症(IBD)とは?】
IBDは、猫の腸内に慢性的な炎症を引き起こす病状です。この炎症は、腸の機能を低下させ、栄養素の吸収不良を引き起こします。症状としては、慢性的な下痢、時には嘔吐、体重減少、食欲不振などが見られます。内視鏡による生検の病理検査結果ではリンパ球形質細胞性腸炎や好酸球性腸炎、肉芽腫性腸炎、慢性組織球性大腸炎などと分類される病態を示します。
【猫の小細胞性リンパ腫とは?】
小細胞性リンパ腫は、猫のリンパ系の癌の一種で、特に腸に影響を及ぼします。この病気は、初期段階ではIBDと非常に似た症状を示すため、診断が困難な場合があります。進行すると、腸の壁が厚くなり、さらには全身に悪影響を及ぼす可能性があります。内視鏡による生検で小型の腫瘍化したリンパ球が優勢に腸粘膜組織に検出されます。
【原因】
IBDの正確な原因はまだ完全には解明されていませんが、遺伝的要因、食事の不耐性、腸内細菌の不均衡などが関与していると考えられています。一方、小細胞性リンパ腫の原因は、主に遺伝的な要因や長期間の炎症が関係しているとされています。
【診断】
これらの病状の診断には、通常、血液検査、便検査、超音波検査、そして最終的には生検を行うことが含まれます。生検による組織サンプルの検査は、IBDと小細胞性リンパ腫を区別する上で最も信頼性の高い方法です。しかしながら、麻酔下での処置が必要になるため、事例においては実施が難しく、確定診断に至らない場合があります。
【治療】
IBDの治療には、食事療法、プロバイオティクスの投与、抗炎症薬の使用が含まれます。一方、小細胞性リンパ腫の治療は、化学療法が一般的ですが、症状の緩和を目指した対症療法も行われます。
どちらの病状も早期発見が鍵となります。猫が慢性的な下痢や他の消化器系の症状を示した場合は、速やかに獣医師の診察を受けることが重要です。適切な診断と治療により、猫の生活の質を向上させることができます。
最後に、慢性的な下痢を抱える猫をケアする際は、飼い主のサポートと理解が不可欠です。愛猫の状態に敏感であること、そして獣医師と密接に協力して治療計画を立てることが、猫の健康を守る上で最も重要です。
当院では、飼主様の希望に応じて適切に診断し治療することを大切にしていますので、お気軽にお問い合わせください。
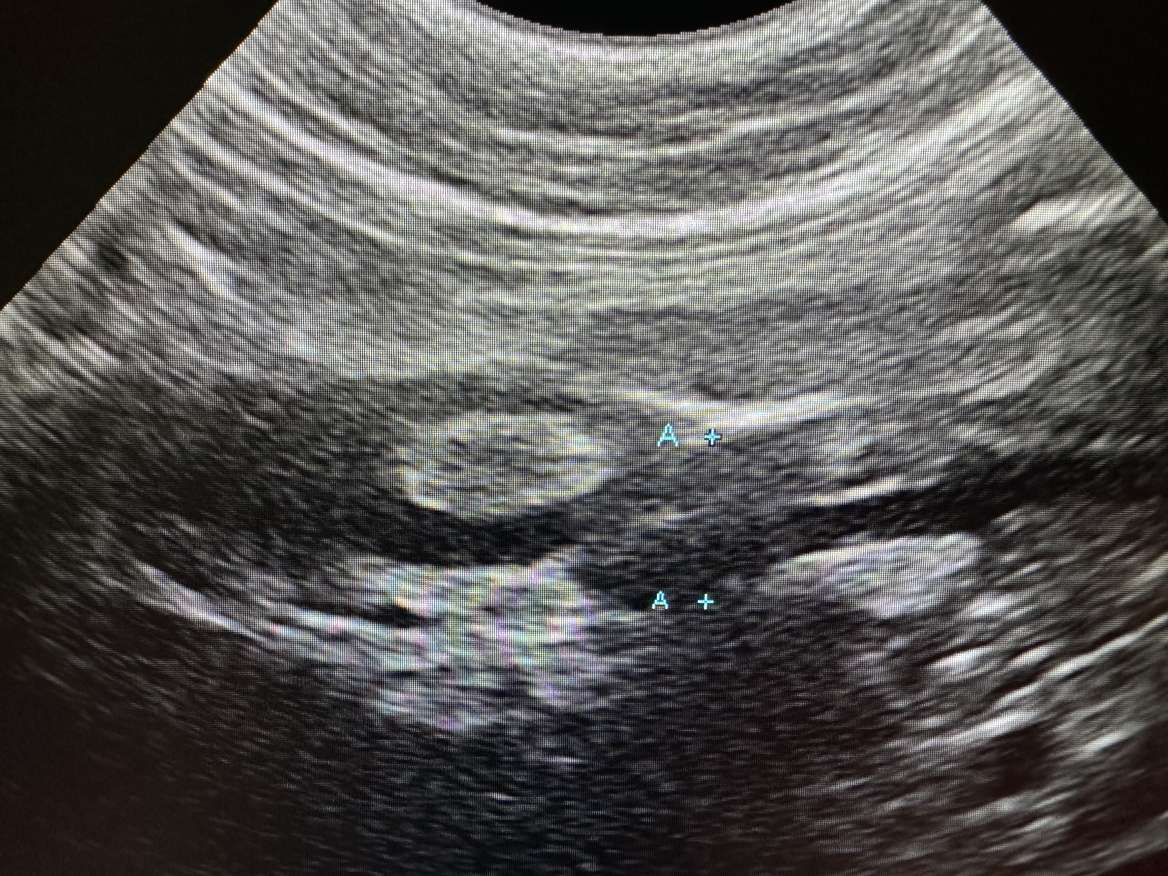
IBDまたは小細胞性リンパ腫が疑われた猫ちゃんの小腸と腸間膜リンパ節(と思われる)の腹部エコーの写真です。左側に輪切りで見える小腸の壁が厚くなっています(特に筋層と呼ばれる外側の黒い領域)。その横に黒く楕円形の組織も認められ、腸管膜リンパ節が腫れていることが疑われます。このような事例は通常病理検査でIBDか小細胞性リンパ腫か診断をつけて、主にステロイドで治療を行うことで症状が改善します。IBDと小細胞性リンパ腫では存命期間に違いがあり、後者の方が重症であることが多いようです。

 
 
 
 
 
 
 
 
 
 
