猫の便秘(便が出ない、きばっている)の症状と原因、治療について|獣医師が解説
消化器科 一般診療科 症例紹介猫の便秘(便が出ない、きばっている)の症状と原因、治療について|獣医師が解説
猫はもともと水分摂取量が少なく、便秘になりやすい動物です。
特に高齢猫や運動量の少ない室内飼いの猫では、「便が出ない」「トイレで何度もきばる」といった症状が見られることがあります。
今回は、猫の便秘の症状・原因・治療法について、獣医師の立場からわかりやすく解説します。
猫の便秘の主な症状
以下のような様子が見られる場合、便秘の可能性があります。
• トイレで何度もきばるが、便が出ない
• 便が少なく硬い(コロコロの便)
• 便を出すときに鳴く、痛がる
• 食欲が落ちる、吐く
• 元気がない、動かない
• トイレに行く回数が減る
• お腹が張っている
重度の場合は、大腸内に硬い便が詰まって排出できない「巨大結腸症」に進行することもあります。
猫の便秘の原因
(1)水分不足
ドライフード中心の猫は水分摂取量が少なく、便が硬くなりがちです。
加齢による腎機能低下でさらに水分が足りなくなるケースもあります。
(2)運動不足
運動量が少ないと腸の蠕動(ぜんどう)運動が低下し、排便が滞ります。
特に室内飼いの高齢猫でよく見られます。
(3)食事内容
食物繊維が極端に少ない、あるいは多すぎると便秘を悪化させます。
また、毛づくろいで飲み込んだ毛(毛球)が腸内にたまることも原因になります。
(4)ストレス・環境の変化
引っ越し、トイレの変更、他の猫の存在なども便秘の引き金になります。
(5)病気が関係している場合
• 巨大結腸症:原因は定かでないが、大腸の運動性が低下し排便が困難になり、大量の便が大腸に停滞して排便できなくなる
• 骨盤骨折後の腸狭窄:機械的に骨盤のスペースが小さいための便秘。ひどい時は手術が必要。
• 腫瘍やポリープ:がんなどができて大腸を塞いでしまう
• 神経疾患(特に腰部):腸の全道運動を阻害したり、肛門の動きがおかしくなるための便秘。
などが原因で起こることもあります。
自宅でできる初期ケア
水分を増やす工夫
• 総合栄養食のウェットフードを増やす
• ドライフードに少量のぬるま湯を加える
• 猫用の循環式給水器を使う(様々な給水方法を試す、氷を使うなど)
食事内容を見直す
• 食物繊維を適度に含むフード(例:便通サポート食)を選ぶ
• 毛玉ケアフードやオリゴ糖入りの食事も有効
運動促進
• キャットタワーやおもちゃで遊ぶ時間を増やす
• 太陽光が当たる場所で体を動かせるようにする
動物病院での治療
便秘が2日以上続く、吐く、食欲がない場合は動物病院での治療が必要です。
主な治療内容
1. 便の除去
浣腸、摘便(直腸から便を手で取り出す)
2. 点滴(輸液)
脱水や電解質バランスの補正
3. 内服薬
緩下剤(ラクツロースなど)
消化管運動促進剤(モサプリドなど)
4. 食事療法
繊維バランス調整フード(ロイヤルカナン 消化器サポート 可溶性繊維など)
腎臓病や糖尿病がある場合は併発疾患に合わせて変更
慢性的な便秘・巨大結腸症の場合
慢性的な便秘が続くと、大腸が拡張して巨大結腸症となり、自然排便が難しくなります。早めに食事の見直し(可溶性繊維を含む処方食)を含めた対応が必要です。食事だけでコントロールが困難な場合は、薬による管理だけでなく、外科的手術(結腸切除)が必要になることもあります。
予防のポイント
• 毎日の排便をチェック(量・形・回数)
• 水分摂取量を増やす
• 適度な運動を心がける
• 定期的に健康診断で腎機能・甲状腺機能を確認
• 高齢猫や持病のある猫は早めの相談を
まとめ
猫の便秘は放っておくと重大な病気につながることもあります。
「少し便が出にくそうだな」と感じたら、早めに獣医師に相談することが大切です。
食事・水分・生活環境の見直しで、多くの猫は改善できます。
日々の排便チェックを習慣にして、愛猫の健康を守りましょう。
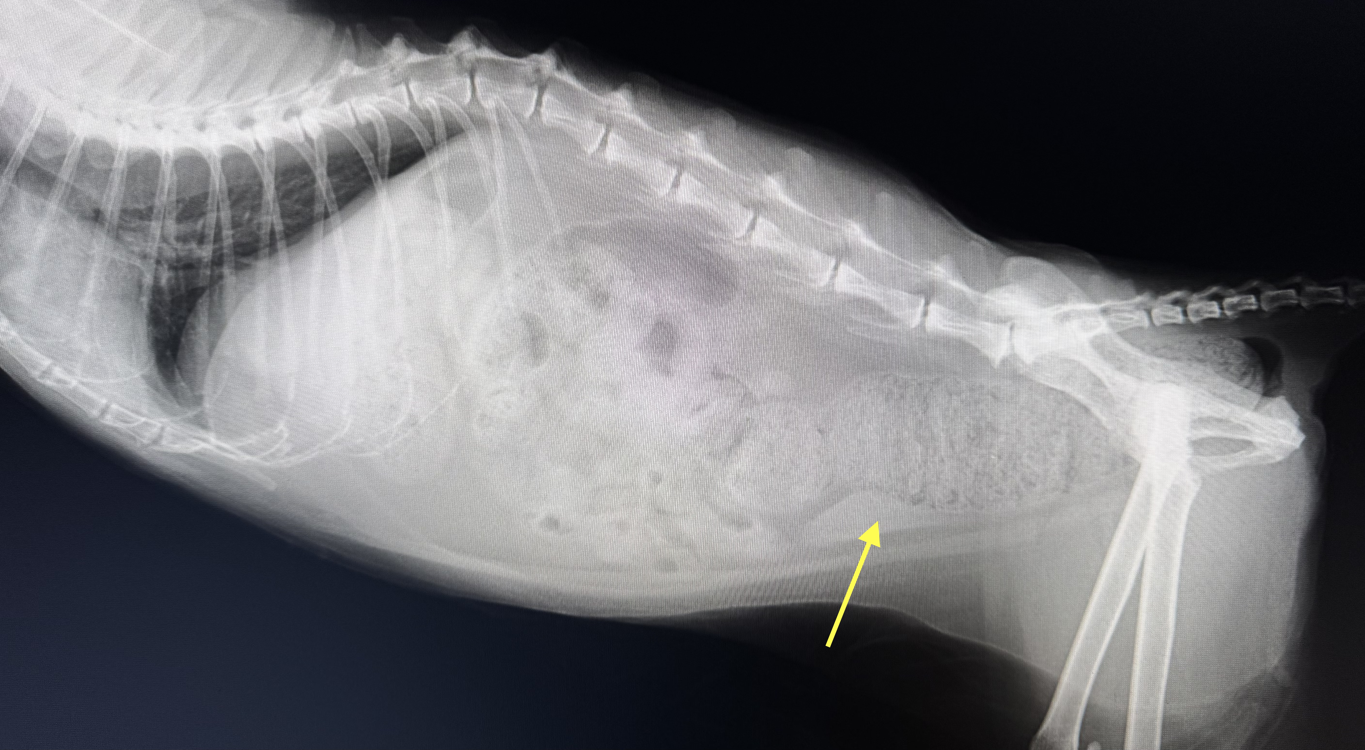
この写真は便が出なくなって、きばっていることを主訴に来院された13歳の日本猫の腹部レントゲン写真です。黄色矢印のところに大きな糞便の塊があることがわかります。骨盤(腰の骨)と比べて、そのスペースを出るか出ないかの大きさになっています。このような子は巨大結腸症と言われる病気になっており、大腸の運動が低下して、排便が滞り、大腸内に大量の便が貯留してしまうことになります。食欲も減退し、嘔吐が見られることもあり、早急に大腸内の糞便を取り除くために、浣腸や摘便処置が必要になります。この子はその後可溶性繊維を含む、専用の病院処方食に切り替えることで排便を促すことに成功し、今や20歳を超えるまで元気にしています。
