猫の小腸腫瘍の症状と原因、治療について|獣医師が解説
腫瘍科 症例紹介猫の小腸腫瘍の症状と原因、治療について|獣医師が解説
福岡市早良区、福岡市西区、福岡市城南区、福岡市中央区、糸島市のみなさん、こんにちは。
福岡市早良区の次郎丸動物病院の獣医師の矢野です。今回は猫の内臓の腫瘍病変である小腸腫瘍の症状や原因とその治療方法について解説します。
小腸腫瘍とは、猫の小腸に発生する腫瘍のことを指します。腫瘍には良性と悪性があり、悪性腫瘍は周囲の組織へ浸潤したり、転移することがあります。特に猫では、リンパ腫や腺癌が多くみられます。
猫の小腸腫瘍の主な症状
小腸腫瘍が進行すると、以下のような症状が現れます。
• 体重減少:食欲があるにもかかわらず、体重が減ることが多い
• 食欲不振:食べる量が減り、元気がなくなる
• 嘔吐:慢性的な嘔吐が見られることがある
• 下痢または便秘:消化吸収の異常により便の状態が変化する
• 腹部膨満:腫瘍の成長によりお腹が張ることがある
• 貧血:腫瘍の影響で出血が起こり、歯茎が白くなることがある
症状の進行具合によっては、猫がぐったりするなどの重篤な状態になることもあります。
猫の小腸腫瘍の原因
小腸腫瘍の原因は明確には分かっていませんが、以下の要因が関与していると考えられています。
1. 遺伝的要因
一部の猫種では腫瘍の発生率が高いことが報告されています。
2. 炎症性疾患
慢性的な腸炎が発生している場合、腫瘍へ進行するリスクが高まる可能性があります。
3. ウイルス感染
猫白血病ウイルス(FeLV)や猫免疫不全ウイルス(FIV)に感染している猫は、リンパ腫のリスクが高くなるとされています。
4. 環境要因
食事や化学物質への暴露が腫瘍の発生リスクを高める可能性があります。
診断方法
小腸腫瘍の診断には、以下の検査が行われます。
1. 身体検査
• 触診により腫瘍を疑う所見が得られることがあります。
2. 血液検査
• 貧血の有無や炎症の兆候を確認します。
3. X線検査(レントゲン)
• 腫瘍による腸の閉塞や腹部の異常を評価します。
4. 超音波検査(エコー)
• 小腸の腫瘍の大きさや周囲の組織への影響を詳細に確認します。
5. 内視鏡検査および生検
• 内視鏡を使用して腫瘍の組織を採取し、病理検査を行います。
治療方法
小腸腫瘍の治療には、以下の方法があります。
1. 外科的治療
• 腫瘍が限局している場合、手術による切除が最も効果的な治療法です。
• 腫瘍が広範囲にわたる場合、手術が難しくなることがあります。
2. 化学療法(抗がん剤治療)
• リンパ腫の場合、化学療法が一般的に選択されます。
• 化学療法に対する反応は個体差があり、副作用の管理が重要です。
3. 対症療法
• 食欲増進剤や消炎剤、抗嘔吐剤などを使用して症状を緩和します。
• 栄養管理も重要で、高品質の食事を提供することで免疫力をサポートします。
予後と管理
小腸腫瘍の予後は、腫瘍の種類や進行度によって異なります。
• 手術で完全に摘出できた場合:良好な予後が期待できます。
• リンパ腫などの悪性腫瘍の場合:化学療法で一定の延命効果が見込まれますが、完治は難しいことが多いです。
• 末期の場合:緩和ケアを行い、猫ができるだけ快適に過ごせるようサポートします。
まとめ
猫の小腸腫瘍は早期発見・早期治療が重要です。体重減少や嘔吐などの症状が続く場合は、速やかに動物病院を受診しましょう。治療には外科手術や化学療法が選択されますが、猫の生活の質を考慮しながら最適な治療法を決定することが大切です。
愛猫の健康を守るためにも、定期的な健康診断を受け、異変を感じた際には早めに獣医師に相談しましょう。
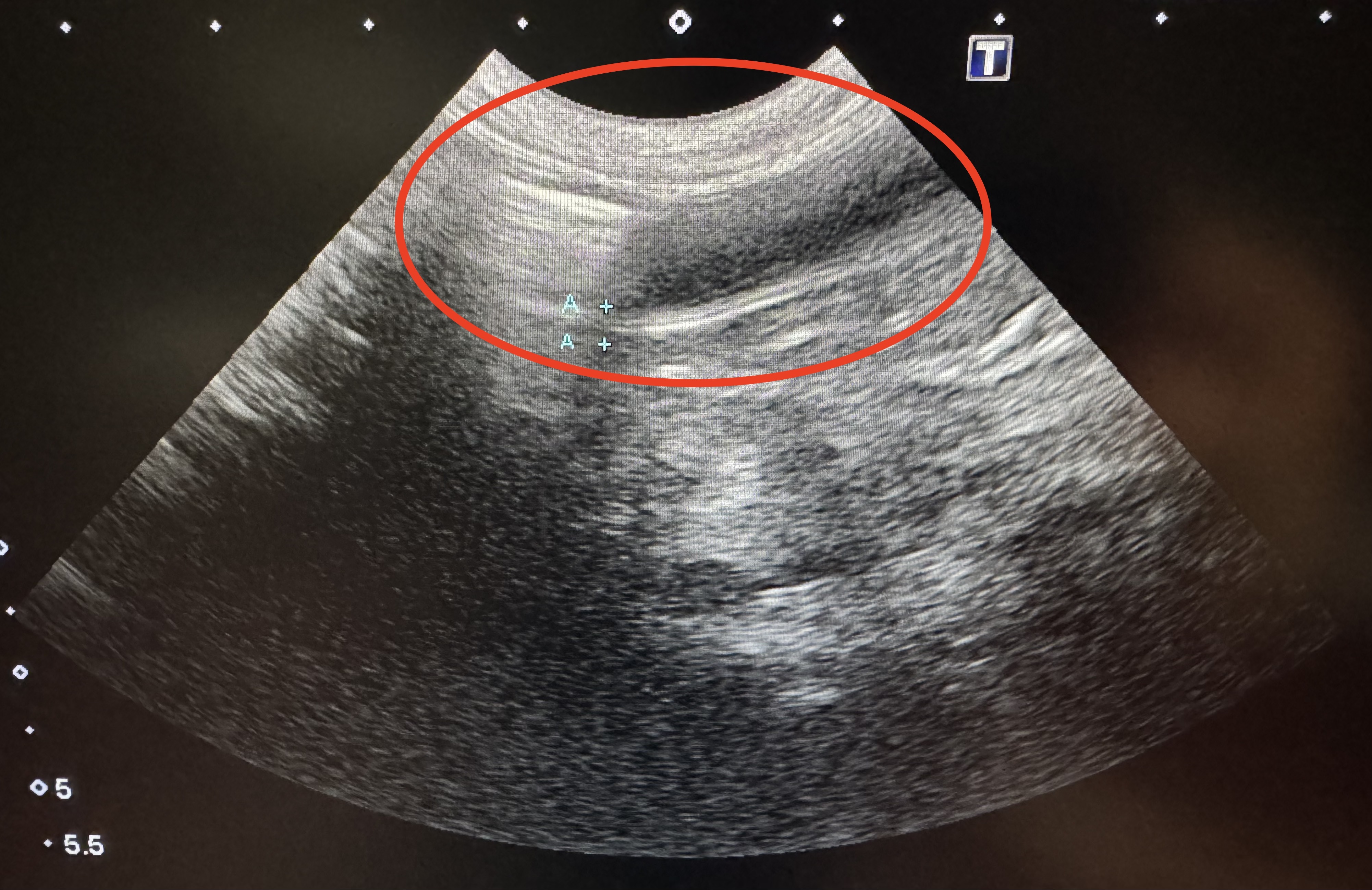
12歳の日本猫のケースです。慢性的な体重減少(2.75Kg)で来院されました。腹部エコーを実施したところ、小腸で音響陰影(白く跳ね返る)を伴う液体貯留(黒く見えるところ)所見(写真の赤丸のところ)を認めました。これは腸の通過がうまくいかない何かしらの問題(異物で詰まっているか、小腸腫瘍などで詰まっているか)が生じている可能性があり、外科的に問題を解決する必要があります。このため、術前検査で手術の安全性を確認後、開腹手術となりました。
手術では、赤矢印のように小腸腫瘍が認められたため、端々吻合術によって病変を摘出しました。術後2日めから食欲元気も回復し、1ヶ月後には体重が3.35Kgまで回復しました。病理検査では小腸腺癌であったため、今後の予後は注意ですが、現時点では本人はご機嫌な様子です。早期発見であれば、再発しないで治療が終わることも期待できますので、体重減少や嘔吐が続く場合は早めに動物病院を受診しましょう。
