犬の脾臓腫瘍の症状と原因、治療について|獣医師が解説
腫瘍科 症例紹介犬の脾臓腫瘍の症状と原因、治療について|獣医師が解説
福岡市早良区、福岡市西区、福岡市城南区、福岡市中央区、糸島市のみなさん、こんにちは。
福岡市早良区の次郎丸動物病院の獣医師の矢野です。
犬の脾臓は、赤血球の貯蔵や免疫機能に関わる重要な臓器です。しかし、この脾臓に腫瘍ができると、突然のお腹の中での大量の出血が生じ、命に関わる事態になることがあります。今回は、犬の脾臓腫瘍の症状や原因、治療法について、獣医師の視点から詳しく解説します。
脾臓腫瘍とは?
脾臓腫瘍とは、犬の脾臓にできる良性または悪性の腫瘍のことです。特に悪性腫瘍で多くみられるのは「血管肉腫(けっかんにくしゅ)」で、進行が早く、脾臓破裂による腹腔内出血を起こすことがあります。
主な種類
• 血管肉腫(Hemangiosarcoma):悪性で最も多い。ゴールデン・レトリーバーやジャーマン・シェパードに多く、全ての犬種で生じえます。転移しやすいです。
• 良性血管腫(Hemangioma):まれだが良性で、摘出により完治することも。
• リンパ腫、線維肉腫など:他にも稀な腫瘍が脾臓に発生することがあります。
症状
初期には無症状のことも多く、偶然の健康診断で見つかることもあります。進行すると以下のような症状が現れます。
• 元気消失・食欲不振
• 腹部膨満・腹痛
• 虚脱(倒れる)
• 貧血(歯茎が白い、舌が青白い)
• 呼吸が浅く速い
• 突然の失神やショック症状(脾臓破裂による出血時)
特に「突然倒れて動かなくなった」「元気だったのに急変した」という場合、緊急性が高いためすぐに動物病院を受診すべきです。
原因とリスク因子
脾臓腫瘍の明確な原因は解明されていませんが、以下の要因がリスクとして考えられます。
• 加齢(7歳以上で発生率増加)
• 遺伝的素因(特定犬種)
o ゴールデン・レトリーバー
o ジャーマン・シェパード
o ラブラドール・レトリーバー
o 全ての犬種で生じることがありえます。
• 慢性の炎症や免疫異常
• 一部の発がん性物質への暴露(未解明)
診断方法
以下の検査で診断が行われます。
1. 身体検査・聴診・視診
2. 血液検査(貧血、炎症反応、凝固系の評価)
3. レントゲン検査(腹腔内の腫瘤確認)
4. 超音波検査(腫瘍の大きさ・破裂有無・腹水確認)
5. 細胞診・病理組織検査、腹水検査(腫瘍の種類を確定)
治療法
治療は腫瘍の種類や進行度に応じて変わりますが、以下が中心になります。
1. 外科手術(脾臓摘出術)
• 最も一般的かつ重要な治療
• 腫瘍が破裂している場合は緊急手術
• 良性腫瘍なら摘出により完治の可能性あり
• 術後に病理検査で腫瘍の性質を確認
2. 化学療法(抗がん剤治療)
• 血管肉腫など悪性腫瘍の場合、術後に行うことが多い
• ドキソルビシンなどが使用される
• 延命効果はあるが、完治は難しいことが多い
3. 緩和ケア
• 手術や抗がん剤が困難な場合
• 痛みや不快感を緩和し、QOLを保つ目的
予後(余命)
腫瘍の種類により大きく異なります。
• 良性腫瘍:摘出後は完治の可能性あり
• 悪性腫瘍(血管肉腫)
o 手術のみ:生存期間は約1~3ヶ月、ただし大量の血液を伴う腹水がある場合手術で亡くなるケースも
o 手術+化学療法:6~12ヶ月程度延命が見込まれることも
o 無治療の場合は破裂による突然死の可能性あり
まとめ
犬の脾臓腫瘍は、見た目ではわかりにくい一方で、命に関わる重篤な病気です。特に高齢犬や大型犬でリスクが高いため、定期的な健康診断(血液検査+超音波検査)が重要です。
もし急な元気消失や腹部の膨らみ、虚脱などが見られた場合は、すぐに動物病院を受診しましょう。早期発見・早期治療が、わんちゃんの命を守る鍵となります。
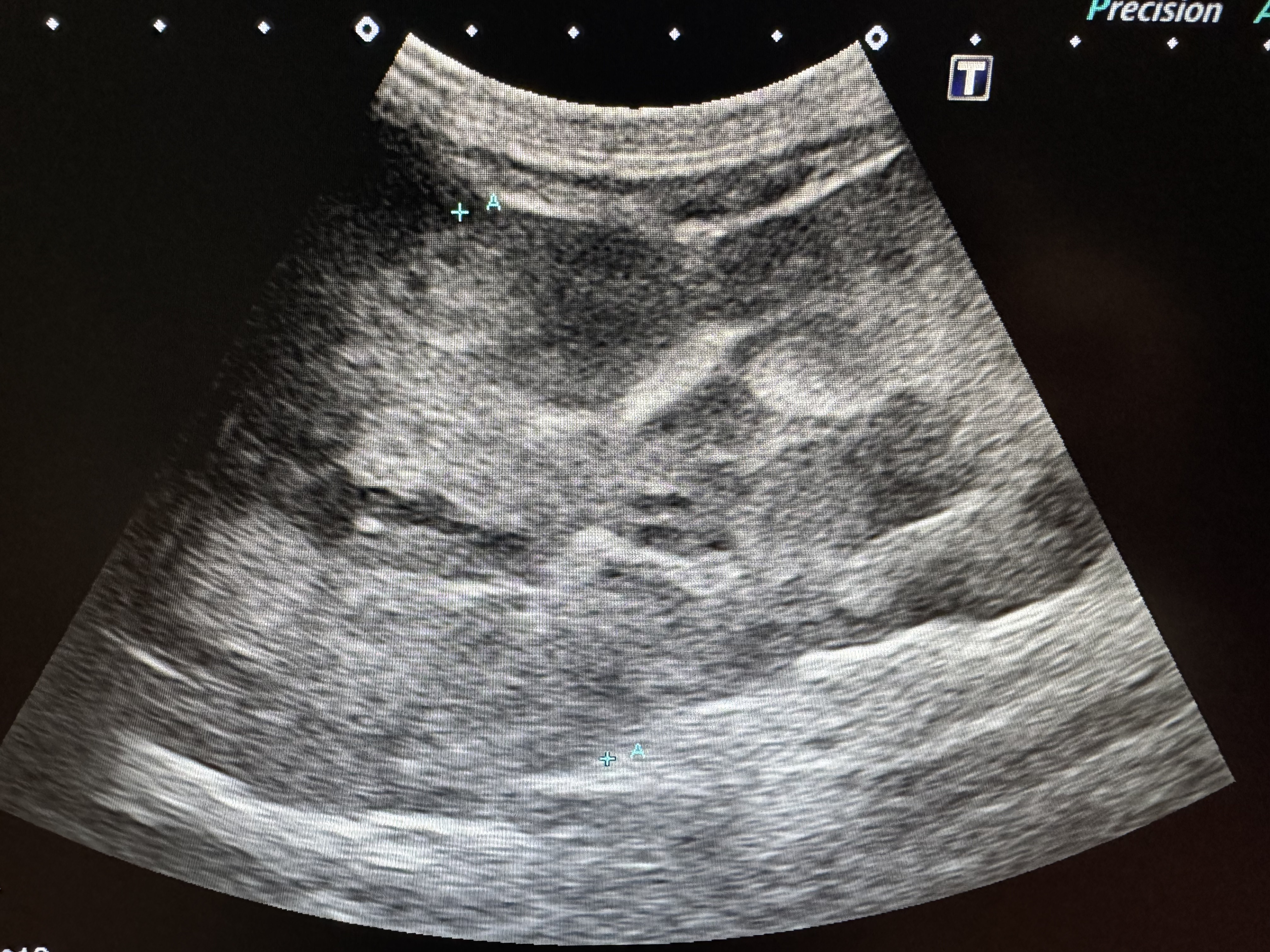
脾臓腫瘍の超音波検査画像です。この腫瘍では、腹部に普通認められない混合エコー性の大きなマス病変(肉の塊)が確認され、時に出血を伴う腹水が認められることがあります。緊急の手術が必要になることが多いです。
