猫のおしっこが出なくなる病気の症状と原因、治療について|獣医師が解説
腎泌尿器科 血液科 症例紹介猫のおしっこが出なくなる病気の症状と原因、治療について|獣医師が解説
福岡市早良区、福岡市西区、福岡市城南区、福岡市中央区、糸島市のみなさん、こんにちは。
福岡市早良区の次郎丸動物病院の獣医師の矢野です。
猫と暮らしていると「トイレに何度も行くのにおしっこが出ない」「元気がなくなった」といった様子に気づくことがあります。これは、命にかかわる 尿路閉塞(にょうろへいそく) の可能性があり、早急な対応が必要です。今回は、獣医師の立場から猫のおしっこトラブルについて解説します。
尿が出ないときに見られる症状
猫のおしっこが出なくなると、以下のような症状が見られることがあります。
• 何度もトイレに行くのに尿が出ない(頻尿ひんにょうと言います)
• 苦しそうに鳴きながら排尿姿勢をとる(おしっこが出ていない状態;尿閉にょうへいの可能性があります)
• 落ち着かず、ウロウロする
• 元気や食欲がなくなる
• 嘔吐する
• お腹を触ると張って硬い
特に オス猫 は尿道が細く長いため詰まりやすく、急速に重症化する危険があります。(オス猫の下部尿路疾患症候群;FLUTDと言います)
おしっこが出なくなる原因
尿路閉塞を引き起こす原因はいくつかあります。
1. 膀胱結石・尿道結石
ミネラルが結晶化し、砂状(尿石)や石となって尿道に詰まります。適切な食餌で飼育することでリスクを下げることができます。
2. 膀胱炎による炎症や血の塊
細菌感染や特発性膀胱炎で炎症が起こり、血の塊や粘液が詰まることがあります。ストレスや季節の影響を受けることがあります。
3. 尿道栓子(にょうどうせんし)
結晶や炎症産物が固まってできる「栓」が尿道を塞ぎます。
4. 腫瘍や外傷
まれに腫瘍やケガによって尿の通り道が狭くなる場合もあります。
放置すると命に関わる理由
尿が出ない状態が続くと、膀胱はパンパンに張り、腎臓に尿が逆流して 急性腎不全 を起こします。体内に毒素(尿毒素)が溜まり、わずか 1~2日で命に関わる危険 があります。
治療法について
尿路閉塞は緊急処置が必要です。動物病院では以下のような治療が行われます。
1. カテーテルでの排尿処置
詰まっている尿道にカテーテルを入れ、閉塞物を押し流して尿を出します。
2. 点滴治療
体内に溜まった毒素を排出し、腎臓の負担を軽くします。尿量を増やし、膀胱や尿道の洗浄効果を期待します。
3. 薬による治療
膀胱炎があれば抗菌薬、炎症や痛みに対して鎮痛薬や鎮痙薬を用います。
4. 再発予防
• 尿石症に応じた食事療法(療法食)
• 水分摂取を増やす(療法食のウェットフード、給水器の工夫)
• ストレス軽減(静かな環境づくり、トイレの清潔保持)
再発を繰り返す場合やカテーテルでの排尿が困難な重症例の場合は外科手術(会陰尿道瘻形成術)が必要になることもあります。
飼い主さんにできること
• 猫が何度もトイレに行くのにおしっこが出ない場合は すぐに動物病院へ
• 早期発見のために毎日の排尿量やトイレの回数を観察
• 適切な飼養管理(特に食べ物、総合栄養食の食事や一度症状が出た子は尿路結石へ配慮された療法処方食のみでの飼育)や水分摂取(定期的な皮下点滴で対応することもあります)やストレス管理で予防
まとめ
猫のおしっこが出なくなる病気は、見過ごすと短時間で命にかかわります。特にオス猫は要注意です。飼い主さんが異変に気づき、早く動物病院に連れていくことが猫の命を守る第一歩です。
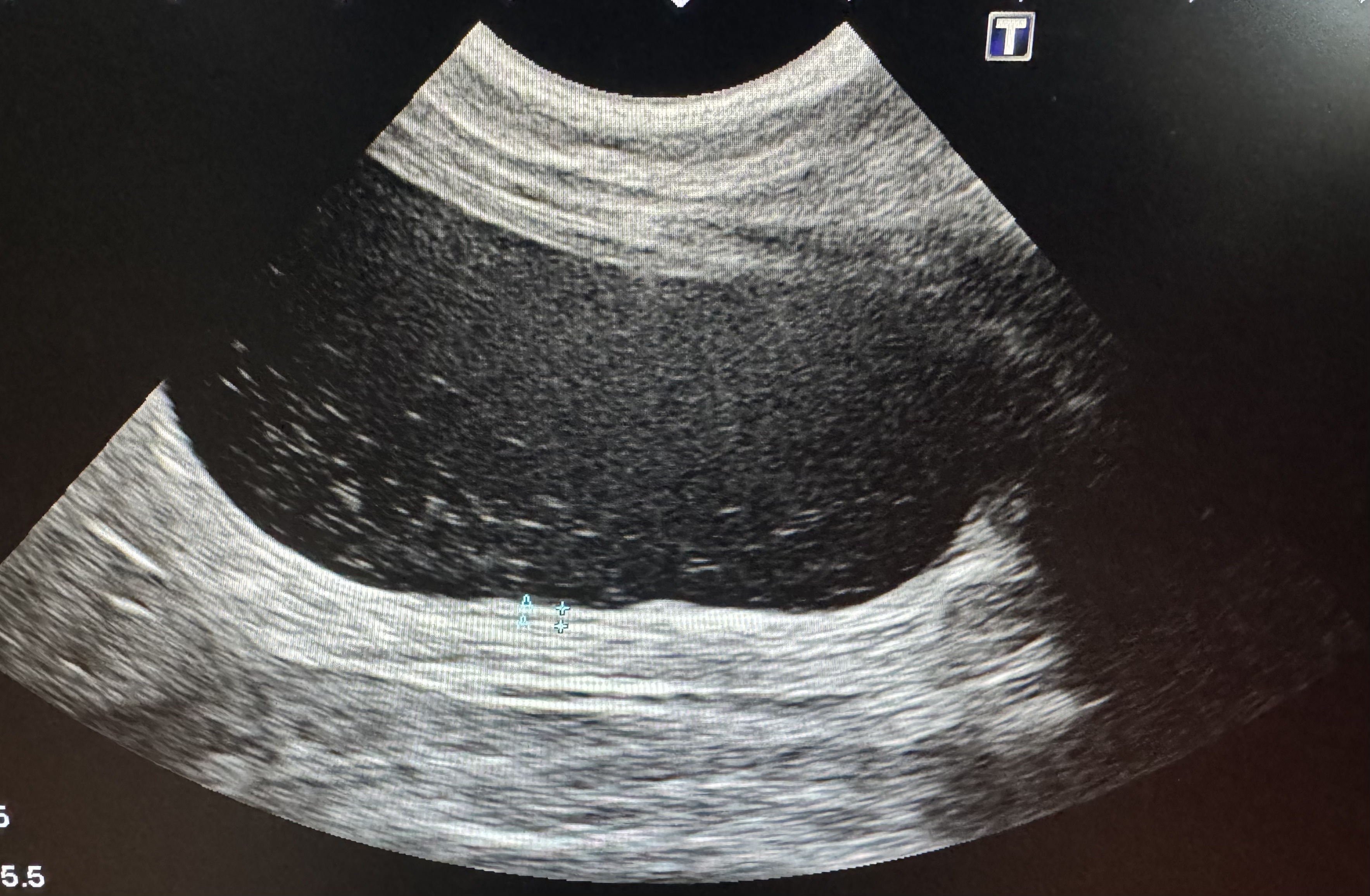
おしっこが出ないことを主訴に来院された2歳のオス猫の膀胱の超音波検査画像です。尿の貯留により明らかに膀胱が拡張しています。膀胱内も白の点がみえ、炎症産物や砂状の膀胱結石の存在が示唆されます。
尿道カテーテルを通そうと外陰部を見ると尿道の先から異物が出ています。尿道栓子の存在が示唆されたので、ピンセットでつまんで摘出を試みると
長さ約3センチほどの尿道栓子を摘出することができました。
その後尿道カテーテルを通して膀胱尿の排泄と洗浄を行いました。典型的なオス猫の下部尿路疾患症候群の事例です。この事例ではカテーテルを通すことができたので大事には至りませんでしたが、尿路の健康に配慮した療法処方食への完全切り替えを行わないと、再発を繰り返すことが多いです。詳しくは動物病院へ相談しましょう。
