猫の骨折の症状と原因、治療について|獣医師が解説
整形・神経科 症例紹介猫の骨折の症状と原因、治療について|獣医師が解説
福岡市早良区、福岡市西区、福岡市城南区、福岡市中央区、糸島市のみなさん、こんにちは。
福岡市早良区の次郎丸動物病院の獣医師の矢野です。
猫は好奇心旺盛で活発な生き物ですが、時に事故や怪我に巻き込まれることがあります。その中でも、猫の骨折は飼い主にとって心配事の一つです。この記事では、猫の骨折について、症状、原因、そして当院での治療について詳しく解説します。
【猫の骨折の症状】
猫が骨折した場合、以下のような症状が現れることがあります:
1. 歩行困難:猫が骨折した足を全く動かさないか、足をつけなくなります。骨折した部位に触れるのを嫌がることがあります。
2. 腫れや炎症:骨折した部位周辺に腫れや炎症が見られることがあります。
3. 異常な鳴き声:痛みからくる異常な鳴き声を発することがあります。
4. 骨が露出:場合によっては、骨が外に露出することもあります。
【猫の骨折の原因】
猫の骨折はさまざまな原因によって引き起こされます。一般的な原因には以下が含まれます:
1. 事故:車にひかれる、高所から落ちる、他の動物との衝突など、事故によって骨折することがあります。
2. 運動や遊び:活発な猫は高い場所からジャンプすることがあり、その際に骨折することがあります。
3. 骨の病気:骨粗しょう症などの骨の疾患がある場合、骨折しやすくなることがあります。
【猫の骨折の治療】
猫の骨折は重大な問題であり、専門的な治療が必要です。獣医師による診断と治療が不可欠です。治療の一般的なステップは次の通りです:
1. レントゲン検査:骨折の種類と場所を正確に確認するためにレントゲン検査が行われます。
2. 骨の固定:骨折部位を固定するためにギプス、プレートやピンを用いて損傷した骨の整復・固定する外科手術が用いられることがあります。
3. 痛みの管理:鎮痛剤が処方され、猫の痛みを軽減します。
4. 経過観察:飼い主は猫の経過を獣医師の指示に従って注意深く観察し、定期的なフォローアップを受ける必要があります。
猫の骨折は深刻な状態であるため、事故を予防し、猫の安全を確保することが最も重要です。もし骨折の疑いがある場合、迅速に獣医師の診察を受け、適切な治療を行うことが大切です。
事故や怪我から猫を守るために、猫を外に出さないで飼うことは骨折の予防につながります。性成熟を迎えた猫ちゃんは、恋の相手を探しに外に出てゆく傾向があります。このため骨折予防の観点で考えると、去勢・避妊手術を行い、性衝動の本能を断ち切る必要があるかもしれません。この様に考えると猫ちゃんに骨折を起こさないために、若いうちに避妊去勢手術を実施し、安全な飼育環境を提供し、定期的な健康チェックを行うことも大切になります。
当院では、プレートやピンを用いた骨折整復手術にも対応しています。複雑な事例に関しては整形外科専門病院をご紹介することもできます。飼主様の希望に応じて適切に診断し治療することを大切にしていますので、お気軽にお問い合わせください。
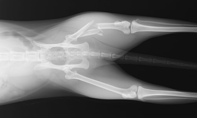
左大腿骨(後ろ足の骨)の粉砕骨折の事例です。外に出る子だったので、交通事故に遭われたのだと思います。
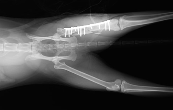
手術を実施し、プレートとボルトを用いて骨折整復手術を行いました。
手術から3ヶ月目の歩様の状態です。後遺症なく普段の生活ができる様になりました。
